安易に入れ歯を削ってしまった結果
使用している入れ歯を削ってもらったら外れやすくなってしまった
という患者さんが先日来院されました。
使用している上の入れ歯を見せてもらうと下記のような状態になっており
入れ歯安定剤がないとすぐに落ちてきてしまう状態です。
滑舌が良くないということを相談したら黄色の部分(口蓋部)を削った
そうです。
入れ歯を最初見た時は下の入れ歯と見間違えてしまうほど口蓋部分が
大きく削られてしまっていました。

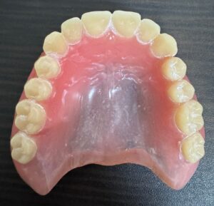
下記の写真は通常の上顎の総入れ歯です。
上記の写真と比べると形態の違いは一目瞭然です。

ではなぜくり抜いてしまったら外れやすくなってしまったか?
その理由を下記にまとめます
<上顎の総入れ歯が吸着する理由>
密閉効果
入れ歯の外縁(ふち)が歯ぐきや口の粘膜にしっかりフィットすると空気が入りにくくなります。これによって入れ歯と粘膜の間に“密閉空間”ができ、外れにくくなります。唾液による接着・粘着効果
入れ歯と粘膜の間には唾液が薄く広がっています。この唾液が接着剤のように働き入れ歯が 吸い付くように安定します。 特にサラッとした適度な唾液があると吸着が良好です。陰圧(真空のような力)
入れ歯がピタッと粘膜に密着している状態で外そうとすると、中の空気が抜けにくくなり陰圧が 生じて外れにくくなります。これが“吸盤”のような働きです。解剖学的な形態の利用
上顎には口蓋(こうがい:上あごの天井部分)の広い平面があり、入れ歯の土台となって支えて くれるため安定しやすいのです。
下顎よりも吸着が得やすいのはこのためです。
上記の理由を見ると今回のような結果になってしまうのは明らかです。
ただし上の総入れ歯の口蓋部分を抜いた義歯を無口蓋義歯と呼びます。
当院の患者さんでも同義歯を使用されている患者さんがお一人おります。
しかし今回のようにいきなり口蓋部分を削った訳ではなく、なんとか工夫して作製しております。
無口蓋義歯を選択する理由として嘔吐反射がある、内側に骨の隆起(口蓋隆起)があり覆うことができない
ことが挙げられます。
やむを得ない上記のようなケースを除いて基本的には口蓋部を覆った入れ歯のほうが安定します。
もしも口蓋部分をどうしても短くしてもらいたい場合は少しずつにしてもらいましょう。
いきなり大きく削りますと元には戻せなくなるので注意です。
























