ご相談はお気軽に
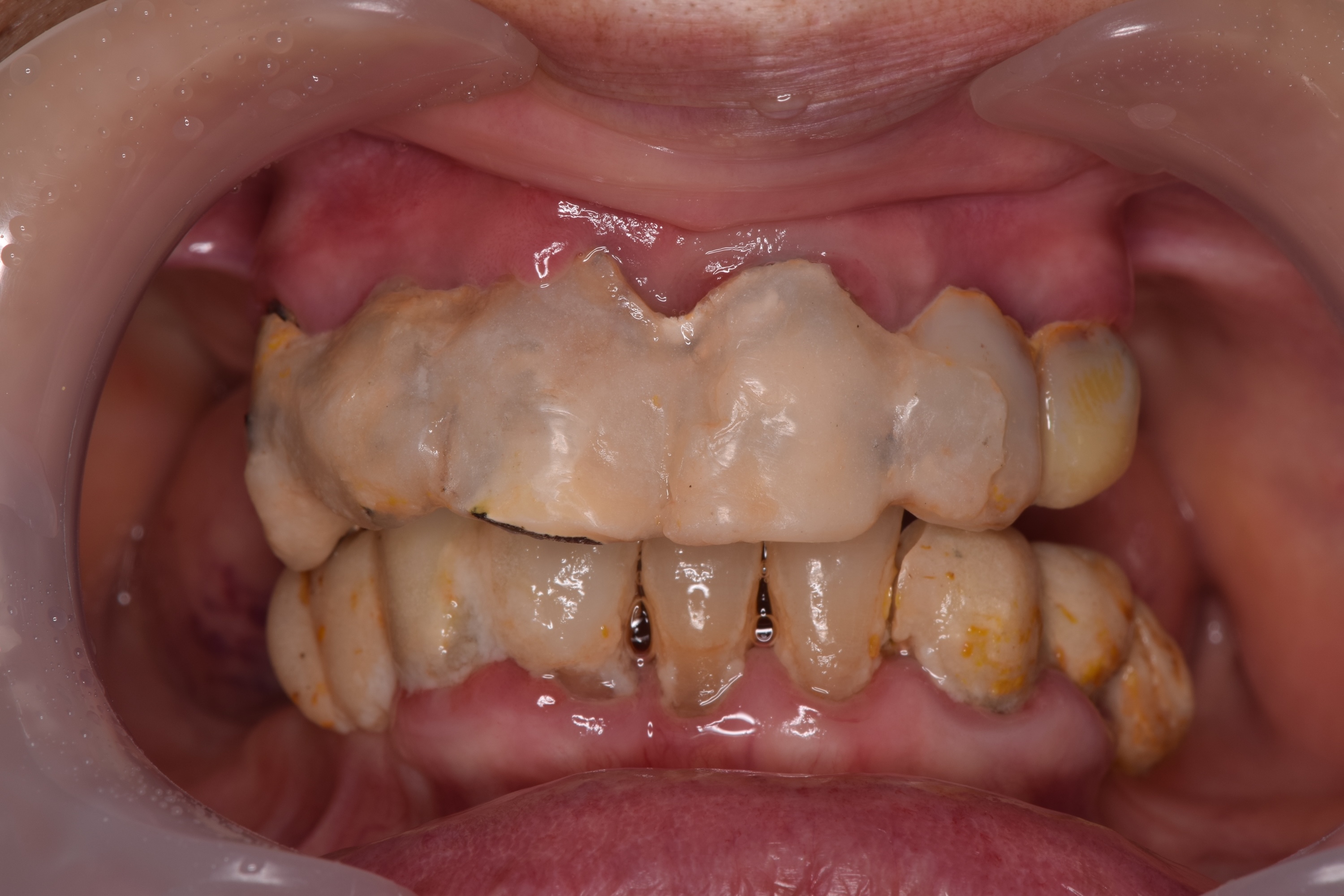
歯がボロボロ
2026.03.31
2026.02.17
2025.12.30
2025.09.30
2025.08.28
2025.07.24
2025.06.26
2025.05.29
2025.04.09
2025.03.17
2026年 (2)
2025年 (10)
2024年 (13)
2023年 (5)
2022年 (6)
2021年 (1)
2020年 (1)
まずはお気軽にお電話メールにてご相談ください
沖縄県那覇市で義歯(入れ歯)のご相談は医療法人誠志会 赤嶺歯科クリニックまでご連絡ください。カウンセリングから診査・診断を行い患者様お一人おひとりに合った義歯を製作いたします。